Top.Mail.Ru
г. Москва, м. Дубровка,
ул. Шарикоподшипниковская, 6/14 с.1
пн-вс, без выходных
c 8:00 до 20:00
+7 (495) 104-44-16

Метод MBST

магнитно-резонансная терапия – это уникальный безоперационный метод лечения заболеваний и травм опорно-двигательного аппарата. Данная терапия оказывает глубокое регенеративное воздействие на клеточном уровне, восстанавливая хрящевую и костные ткани, мышцы, связки и сухожилия. С помощью магнитно-резонансной терапии мы можем устранить причину вашего заболевания, а не временно избавить от симптомов!

магнитно-резонансная терапия – инновация в лечении суставов и позвоночника!

Преимущества
магнитно-резонансной терапии

  1. Отказ от хирургического вмешательства
  2. Безболезненность и безопасность процедур
  3. Отсутствие возрастных ограничений
  4. Минимум противопоказаний
  5. Прекращение или снижение приема медикаментов
  6. Долгосрочный терапевтический эффект – более 5 лет
Узнайте о возможности лечения с помощью магнитно-резонансной терапии на консультации со специалистом

История появления метода

магнитно-резонансная терапия была разработана в Германии в конце прошлого века. Технологической основой для создания терапевтических аппаратов послужила магнитно-резонансная томография.

Всем известная на данный момент МРТ-диагностика в 1970-хх годах только зарождалась и разрабатывалась. Время записи изображения на первых МРТ-аппаратах составляло несколько часов, а пациентов приходилось обследовать много раз. После частых магнитно-резонансных томографических исследований многие пациенты с проблемами суставов сообщили – поначалу необъяснимое для врачей – что их жалобы улучшились.

Руководители компании MedTec Medizintechnik GmbH

История появления метода

После изучения феномена ученые пришли к выводу о том, что положительный эффект был вызван эффектом магнитного резонанса и его воздействием на протоны водорода в клетках поврежденных тканей. На основе этого за несколько лет работы были разработаны системы лечения магнитно-резонансной терапии, использующие тот же физический принцип, что и аппарат МРТ – магнитный резонанс.

Немецкая компания MedTec Medizintechnik GmbH совместно с международным производителем медицинского оборудования AD Elektronik GmbH с 1998 года создают и поставляют оборудование магнитно-резонансной терапии более чем в 40 стран. На данный момент более 300 медицинских центров по всеми миру, используют терапию магнитно-резонансной терапии для лечения своих пациентов. В их число входит и АртроМедЦентр в Москве, который является эксклюзивным партнером компании MedTec Medizintechnik GmbH в России.

Как работает метод

Для того, чтобы понять, каким образом магнитно-резонансная терапия оказывает влияние на поврежденные ткани, нужно разобраться в том, что происходит в них во время заболевания.

Здоровый организм самостоятельно регулирует процесс регенерации клеток и тканей. Когда ткани (например, хрящевая ткань или сухожилие) повреждены, изменяется их функционирование. Это часто влияет на восприятие телом своих собственных сигналов и препятствует регенерации новых клеток. В результате появляются знакомые вам симптомы - боль и снижение подвижности суставов.

магнитно-резонансная терапия с помощью электрических и магнитных полей регулирует обмен веществ в тканях и перенаправляет сигналы в их первоначальном здоровом виде к больным тканям. Только нормальные сигналы могут повторно запустить правильный метаболизм и возобновить процесс регенерации.

Какие же процессы происходят на физико-биологическом уровне?

Ядра атомов водорода в теле человека действуют как миниатюрные магниты, которые вращаются вокруг полюсных осей. Расположение осей вращения в пространстве обычно случайно, так что молекулы, содержащие водород, не проявляют внешние магнитные свойства.

В любом случае, когда эти молекулы (например, в хрящевой ткани человека) находятся под влиянием однородного магнитного поля (статического), оси вращения атомов водорода (протоны – ядра) устанавливаются в соответствии с магнитными полями и перемещаются в соответствии с частотой, называемой Larmor frequency. Эта частота зависит от мощности наружного магнитного поля.

Атом водорода под влиянием электромагнитного поля, меняющегося с определенной частотой “Larmor” может передавать энергию протонам при помощи изменения направления вращения. Когда поле исчезает, вращение протонов возвращается в первоначальное направление и передает новую энергию в окружающие ткани.

Когда включают и выключают магнитное поле беспрерывно, энергия переходит от лечащего прибора в ткани. В клетки образующие хрящевые ткани – хондроциты, передается информация, синтетически воздействующая на атрофированные клетки и стимулирующая их обновление.

Если в клетках сохранилось достаточное количество базового материала для создания новых клеток, то магнитно-резонансная терапия способна регенерировать поврежденные ткани. Для пациентов это означает восстановление хрящевой и костной тканей, связок, мышц и сухожилий.

Области применения метода магнитно-резонансной терапии

Магнитно-резонансная терапия применяется в лечении большого числа дегенеративных заболеваний опорно-двигательного аппарата, а также сопутствующих процессов в суставах и позвоночнике. Более того, магнитно-резонансная терапия крайне эффективна в реабилитации после травм или хирургического вмешательства.
Лечение суставов
  • Артроз
  • Синовит
  • Бурсит
  • Повреждение/разрыв мениска
  • Асептический некроз (остеонекроз)
  • Вальгусная деформация большого пальца стопы (косточка/шишка на ноге)
  • Рассекающий остеохондрит
  • Периартрит
Лечение травм
  • Повреждение/разрыв мениска
  • Ускоренное срастание перелома кости
  • Растяжение/разрыв мышц, связок и сухожилий
Лечение позвоночника
  • Межпозвонковая грыжа
  • Протрузия
  • Остеохондроз
  • Спондилоартроз
  • Спондилодисцит
Лечение заболеваний связок и сухожилий
  • Пяточная шпора
  • Тендинит
  • Эпикондилит
Лечение заболеваний костей
  • Остеопороз
  • Остеопения
  • Асептический некроз (остеонекроз)
Реабилитация
  • Реабилитация после эндопротезирования
  • Реабилитация после артроскопии
  • Реабилитация после переломов
  • Реабилитация после операций на позвоночник (дискэктомия / установка конструкций)
Не нашли свою проблему в списке? Оставьте заявку на обратный звонок, чтобы уточнить, сможем ли мы вам помочь!

Как проходит лечение магнитно-резонансной терапии в АртроМедЦентре

Для того, чтобы пройти курс магнитно-резонансной терапии в АртроМедЦентре, вам необходимо прийти на консультацию к нашим специалистам. На ней врач изучит вашу проблему и назначит индивидуальный курс лечения.

Как правило, курс магнитно-резонансной терапии состоит из 7-12 процедур, которые длятся по 1 часу и проводятся ежедневно. Магнитно-резонансная терапия проходит амбулаторно, то есть нет необходимости ложиться в стационар, чтобы проходить длительное лечение.

Во время сеансов терапии наши пациенты занимают удобное положение лежа или сидя в зависимости от зоны лечения. Наши медсестры обеспечат Вас всем необходимым для комфортного проведения процедуры: подушки, валики, покрывало.

OpenSystem700 терапия парных суставов и позвоночника
OpenSystem350 терапия одного коленного сустава / двух локтевых и голеностопных суставов / двух кистей рук
ProMobil терапия одного сустава / одного отдела позвоночника
OsteoSystem терапия остеопороза и остеопении всего тела

Перед процедурой пациент занимает удобное положение на аппарате, а во время нее не испытывает никаких болезненных или неприятных ощущений.

Цены на лечение

  • 1 отдел позвоночника;
  • 1 коленный сустав;
  • 1 или 2 локтевые суставы;
  • 1 или 2 голеностопные суставы;
  • суставы 1 или 2 кистей рук.
1 процедура, 1 час
6 100 - 7 300 руб.
  • 2 коленных сустава;
  • 2 тазобедренных сустава;
  • 2 плечевых сустава;
  • 2 отдела позвоночника (шейный+грудной/грудной+поясничный);
  • 2 тазобедренных сустава + пояснично-крестцовый отдел позвоночника;
  • 2 плечевых сустава + шейный отдел позвоночника.
1 процедура, 1 час
10 200 - 12 200 руб.
Лечение остеопороза и остеопении всего тела
1 процедура, 1 час
6 700 руб.

Где еще можно пройти магнитно-резонансную терапию?

Если вы из другого города и вам не удобно приезжать на лечение в Москву, то вы можете пройти лечение магнитно-резонансной терапии у наших официальных партнеров:

Отзывы наших пациентов

Отзыв Алены Яковлевой о лечении в АртроМедЦентре
20 октября 2022 года

Благодарим за отзыв о лечении в нашем медицинском центре прекрасную народную артистку Российской Федерации, Яковлеву Алену Юрьевну.

Нам было очень приятно ежедневно наблюдать вашу прекрасную улыбку в стенах нашей клиники, пока вы проходили курс магнитно-резонансной терапии.

Еще сильнее мы рады, что смогли помочь вам избавиться от боли, как мы помогаем всем нашим пациентам.

Продолжайте радовать нас своими ролями в театре и кино!

Отзыв пациента о лечении спортивной травмы коленного сустава без операции
08 ноября 2023 года

К сожалению, травмы в спорте практически неизбежны. И в АртроМедЦентре врачи знают, как быстро и без операции вернуть спортсмена «в строй».

Наш пациент Вячеслав во время тренировки получил травму колена (разрыв мениска и крестообразной связки). Помимо этого, также имели место артроз сустава и киста Бейкера. Несмотря на то, что врачи направляли Вячеслава на операцию, он решил найти альтернативные методы лечения и обратился в АртроМедЦентр.

После консультации с доктором стало ясно, что необходимости идти на хирургическое вмешательство для ведения активной жизни без боли и занятий футболом нет.

Конечно, еще рано говорить о полноценных результатах лечения, но уже во время прохождения курса магнитно-резонансной терапии с колена пациента спал привычный для него отек, ушла боль, которая мучала Вячеслава при движениях.

Желаем Вячеславу скорейшего возвращения на футбольное поле и больше красивых голов!

Однако, получить подобную травму вполне возможно и в обычной бытовой жизни. Если вы столкнулись с подобной проблемой, то не стоит сразу же представлять себе все ужасы операции и долгий восстановительный период. Узнайте дополнительное мнение специалиста и обратитесь в АртроМедЦентр.

Отзыв пациентки о лечении остеопороза
14 июня 2023 года
Остеопороз — это сложное и опасное заболевание, которое может привести к очень серьезным последствиям (переломы, инвалидность). К счастью, врачи АртроМедЦентра знают, как эффективно и без последствий для организма лечить данное заболевание. Пожалуй, единственным высокорезультативным и нелекарственным методом терапии остеопороза на данный момент является магнитно-резонансная терапия. Именно с помощью нее удалось восстановить плотность и эластичность костной ткани, что подтверждают результаты денситометрии Любови Дмитриевны. Они показали переход от остеопороза к остеопении (стадия предразвития остеопороза, при которой плотность костной ткани значительно выше) через пол года после лечения.

Результаты

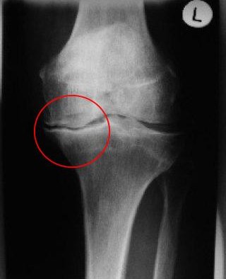
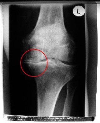
Пациент Р. 72 лет, диагноз: левосторонний деформирующий гонартроз 3 ст.
Жалобы на боль в левом коленном суставе, ограничение функции левой нижней конечности. В феврале 2003 года проведена Магнитно-резонансная терапия (MBST) в объеме 7 часов. Результаты лечения: купирование болевого синдрома достигнуто в марте 2003 года, увеличение объема движений. На контрольной R-грамме от января 2004 отмечено увеличение суставной щели.
Февраль 2003
Январь 2004
Пациентка 65 лет, диагноз: остеопороз обоих отделов бедренной кости, остеопения в поясничном отделе позвоночника.
В 2022 году был проведен курс магнитно-резонансной терапии, состоящий из 10 процедур. Через 6 месяцев после окончания лечения пациенткой было пройдено повторное диагностическое исследование методом денситометрии. По результатам исследования наблюдается значительная положительная динамика — переход остеопороз в стадию остеопении.
Пациент П. 67 лет, диагноз: асептический некроз латерального мыщелка левой бедренной кости в стадии отека.
Жалобы на интенсивную боль в левом коленном суставе, ограничение функции левой нижней конечности. 2 мая 2012 года проведена магнитно-резонансная терапия в объеме 9 часов. Результаты лечения: купирование болевого синдрома достигнуто 15 мая 2012 года, увеличение объема движений. На контрольных МРТ от 11 июня 2012 и 23 июля 2012 отмечена положительная динамика снятия отека костного вещества без появления дефектов в кости.
2 мая 2012 - 11 Июня 2012 - 23 июля 2012

Научные статьи

Влияние MBST-терапии на грыжи межпозвоночного диска

Impact of Magnetic Resonance Therapy on Sickness Absence of Patients with Nerve Root Irritation Following a Lumbar Disc Problem Авторы: Г. Саломоновиц1, Х. Зальфингер2, Й. Хане3, М. Фридрих4 Институты: 1Отделение технологии радиологии, университетский кампус в Вене, Австрия 2Отделение ортопедической болевой…

Анализ длительного действия ядерно-магнитной резонансной терапии MBST® при гонартрозе

Анализ длительного действия ядерно-магнитной резонансной терапии MBST® при гонартрозе Длительное действие ядерно-магнитно-резонансной терапии MBST® при гонартрозе исследуется на основании анкетных опросов пациентов относительно болевых ощущений и ограничений активности в повседневной жизни. В исследовании приняли участие 39 пациентов, у которых терапия…

Эффективность MBST при лечении пациентов, страдающих болью в пояснице

Новое издание из Интернациональный журнал реабилитации спины и опорно-двигательного аппарата (ISSN 1053 8127) IOS Press Амстердам * Вашингтон * Токио www.iospress.nl INTERNATIONAL JOURNAL OF BACK AND MUSCULOSKELETAL REHABILITATION (ИНТЕРНАЦИОНАЛЬНЫЙ ЖУРНАЛ РЕАБИЛИТАЦИИ СПИНЫ И ОПОРНО-ДВИГАТЕЛЬНОГО АППАРАТА) Главный редактор: Х. Херменс Помощник…

Лечение остеопороза с применением MBST® Magnetic Resonance Therapy

Лечение остеопороза с применением MBST® Magnetic Resonance Therapy Демографические изменения, имеющие место в настоящее время для людей во всем мире, представляют всё больше проблем для современной медицинской практики. Относительно остеопороза это - устойчивое увеличение страдающих более или менее выраженными симптомами.…

Концепция комплексного целостного подхода в реабилитации пациентов с дегенеративными заболеваниями опорно-двигательного аппарата

ТЕЗИСЫ КОНЦЕПЦИЯ КОМПЛЕКСНОГО ЦЕЛОСТНОГО ПОДХОДА В РЕАБИЛИТАЦИИ ПАЦИЕНТОВ С ДЕГЕНЕРАТИВНЫМИ ЗАБОЛЕВАНИЯМИ ОПОРНО-ДВИГАТЕЛЬНОГО АППАРАТА ОСТЕОПОРОЗ Китаев Игорь Владимирович главный врач «Клиника Суставов и Позвоночника Артромедцентр», Россия, г. Саратов E-mail:ivkitajev72@mail.ru Пластинина Оксана Викторовна врач-ревматолог «Клиника Суставов и Позвоночника Артромедцентр», Россия, г. Саратов…
Спасибо за обращение!
Мы получили Вашу заявку на консультацию.
Администратор свяжется с Вами в ближайшее рабочее время с 8:00 до 20:00 ежедневно.
Спасибо за обращение!
Мы получили Вашу заявку на консультацию.
Администратор свяжется с Вами в ближайшее рабочее время с 8:00 до 20:00 ежедневно.