Top.Mail.Ru
г. Москва, м. Дубровка,
ул. Шарикоподшипниковская, 6/14 с.1
пн-вс, без выходных
c 8:00 до 20:00
+7 (495) 104-44-16

Результаты МРТ

Пациент П. 67 лет, диагноз: асептический некроз латерального мыщелка левой бедренной кости в стадии отека.
Жалобы на интенсивную боль в левом коленном суставе, ограничение функции левой нижней конечности. 2 мая 2012 года проведена MBST — терапия в объеме 9 часов. Результаты лечения: купирование болевого синдрома достигнуто 15 мая 2012 года, увеличение объема движений. На контрольных МРТ от 11 июня 2012 и 23 июля 2012 отмечена положительная динамика снятия отека костного вещества без появления дефектов в кости.
2 мая 2012 - 11 Июня 2012 - 23 июля 2012
Пациент Р. 72 лет, диагноз: левосторонний деформирующий гонартроз 3 ст.
Жалобы на боль в левом коленном суставе, ограничение функции левой нижней конечности. В феврале 2003 года проведена MBST — терапия в объеме 7 часов. Результаты лечения: купирование болевого синдрома достигнуто в марте 2003 года, увеличение объема движений. На контрольной R-грамме от января 2004 отмечено увеличение суставной щели.
Февраль 2003
Январь 2004
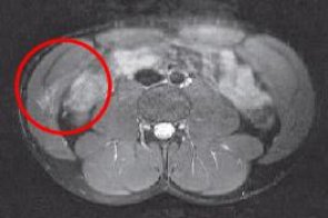
Пациент N., 32 лет; Диагноз: «Неполный разрыв прямой и косой мышц живота справа».
Лечебные сеансы начаты через 3,5 месяца после получения травмы. Диагноз подтвержден МРТ-диагностикой. Был проведен семидневный курс лечения MBST. Было достигнуто купирование болевого синдрома в ходе терапии. По данным МРТ-динамики увеличение плотности и количества мышечной ткани в области поражения.
МРТ Пациент N.,Март 2007
Пациент N.,Апрель 2007
Спасибо за обращение!
Мы получили Вашу заявку на консультацию.
Администратор свяжется с Вами в ближайшее рабочее время с 8:00 до 20:00 ежедневно.
Спасибо за обращение!
Мы получили Вашу заявку на консультацию.
Администратор свяжется с Вами в ближайшее рабочее время с 8:00 до 20:00 ежедневно.